
重度歯周病で「抜歯」と言われた方へ
「重度歯周病なのでもう抜くしかない」と言われてしまった歯でも、まだ残せる可能性があるかもしれません。浦安ブランデンタルクリニックでは、歯周組織再生療法や精密診断を用いて、重度歯周病の歯を少しでも多く残す治療を目指しています。
当院の理事長は、日本でもトップレベルの歯科医師が集まる【5-D Japan】で歯周・インプラントコースのインストラクターを務める歯科医師です。
歯周病治療に関する専門書『5-Dコンセンサス 歯の保存にこだわる』の著者としても知られており、全国の歯科医師に技術を教える立場として、数多くの重度歯周病の治療に携わってきました。
重度歯周病だからと言われても諦めずに、当院へいらしてください。まずは相談からでもかまいません。

重度歯周病とはどのような状態なのか?
重度歯周病は、歯周病が進行する最終段階と言えます。
骨の約分が吸収(溶かされている)状態であることから、
- 歯が揺れ動く
- 食事が噛みにくい
- 歯列が悪くなる
- 強い口臭がある
- 歯ブラシを使うと強い痛みを感じる
また、歯周病の原因となる細菌だけに限らず、咬み合わせの問題も関わっていることがあるため、歯周病以外の問題も検査で明らかにしていく必要があります。
重度の歯周病では、審美的な問題もあるため、歯科医院に行きにくいという方も多いです。しかし、このまま放置してしまうと、多くの歯を失うことになり、身体的にも経済的にも負担が掛かる可能性があります。
当院は患者様の立場に立ち、快適な生活を取り戻すために最大限サポートいたします。
重度歯周病の歯を抜歯しなければならない理由
残念ながら状態によっては歯を残すことが出来ない場合があります。
例として、以下のようなケースが考えられます。
- 歯周病の治療すべてを尽くしても、歯を支えるだけの骨を回復させられない場合
- 残した歯が、他の歯に悪影響となる可能性がある場合<
- 全身疾患への影響が懸念される場合
当院では残せる歯を残すことを前提としておりますが、やむなく抜歯を選択しなければならないことがあります。そのために、精密な診査診断を行い、状況を見極めたうえで患者様にしっかりとご説明を行い、納得して治療を進めていただけるように心がけています。
当院が行う重度歯周病治療の特徴
精密な診査診断
重度の歯周病で適切な治療計画を立案するためには、お口の状態を詳細に把握する必要があります。そのために当院では精密な診査診断を行います。歯周病の直接的な原因だけでなく、咬み合わせなどの間接的な原因も把握することによって、治療計画の精度が高まります。

歯周組織再生療法
通常抜歯の対象となる歯であっても、歯周組織再生療法を行うことで残せる可能性はあります。もちろん、適応条件はありますが上記の精密な診査診断を行うことで、歯を残せるか否かを判断することが可能です。重度歯周病だから”必ず抜歯”ということはありません。


機能と審美性の回復を目指す総合治療
重度の歯周病になると咬合崩壊を起こしてしまう場合があります。その場合、歯周病治療のみならず、矯正治療・不良補綴物のやり直し・インプラントなど様々な治療を組み合わせて機能の回復を目指す必要があります。また失った審美性の回復も同時に目指すことで、治療後に口元を気にする必要がなくなります。
>重度歯周病治療の治療方法

歯周基本治療(初期治療)
歯周基本治療は、歯周病の原因となる歯肉縁上・歯肉縁下の歯石を除去していきます。また、ブラッシング指導を行い、適切なブラッシングを習得していただきます。当院での治療と患者様のブラッシングが相乗効果となり、高い治療成果を生み出します。

必要に応じて歯の固定
重度歯周病は歯を支える骨が溶かされており、グラグラしている状態です。その歯を固定することでしっかりと噛める状態を作ります。これによりブラッシングがしやすくなるというメリットもあります。

咬み合わせの対応
咬み合わせによる強い歯の負担を考慮する必要があります。例えば歯ぎしりなどです。歯は縦の力にはそれなりに強いのですが横の力には弱く、歯ぎしりを行うことによって、歯周病の進行を早めてしまう可能性があります。 そのため、当院ではこのような咬み合わせの対応を行うことで歯や歯周病組織への負担を減らすような対応を行います。

歯周外科、歯周組織再生療法
歯周基本治療では取り切れない場所にある歯石を取るために、歯茎を切開し、目に見える状態で処置をします。また適応であればエムドゲインやリグロスといった再生誘導材料を用いた歯周組織再生療法を行い、失った骨を再生させる治療を行います。

抜歯
残念ながら歯周病によって残せない歯は抜歯となります。精密な診査診断を行った結果、残す価値がない場合は患者様にきちんと説明したうえで、抜歯を行います。
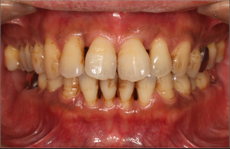
治療例
重度歯周病の症例




重度歯周病のセカンドオピニオンを受け入れています

安ブランデンタルクリニックでは重度歯周病に関するセカンドオピニオンを受け入れております。治療を繰り返して重度の歯周病になってしまった。治療しているのに治らなくて、どんどん歯周病が進行して心配。治療計画に納得できていない。沢山の方が悩まれて当院へいらっしゃいます。
納得しないまま治療を進める前に、当院へいらしてください、
きっと、患者様が納得する結論を導き出せるのではないかと思っています。
当院は痛くない歯科治療を
目指しています。
歯科治療には「痛い」というイメージが先行しがちです。
痛みとその恐怖のストレスで体がこわばると、より痛みを感じやすくなります。
当院では痛くない治療を目指して、麻酔にもこだわっています。安心して受診ください。
痛くない麻酔の秘密
表面麻酔を塗布
麻酔針が刺さるときの痛みを感じさせないように、まずは歯肉に表面麻酔を必ず塗布して感覚を麻痺させます。
極細の麻酔針を使用
通常よりも極細の麻酔針を用いて、できるだけ痛点を刺激せず、痛みを発生させないように麻酔を行ないます。
麻酔薬の温度調節
使用する麻酔薬をあらかじめ人間の体温程度に温めることで、温度差による痛みのリスクを低減させています。
電動麻酔器を使用
麻酔針の注入スピードをコントロールし、無駄な圧力で発生する痛みを抑えた電動麻酔器を使用しています。









