機能と美しさを取り戻す、精密インプラント治療
歯を失ったとき、ただ「噛めるようにする」だけが治療の目的ではありません。
浦安ブランデンタルクリニックでは、天然歯のように美しく、長く快適に使えるインプラント治療を目指しています。
噛む力・見た目・全体のバランスまで考え抜いた治療により、
「食べる」「話す」「笑う」ことにもう一度自信を取り戻していただけるようサポートいたします。
こんなお悩みはありませんか?
- インプラントは本当に安全?
- 骨が足りないと言われ、治療を断られた
- 通っている歯科で抜歯を提案されたが不安
- 大事な前歯をブリッジにされたくない 他院の診断をもう一度確認したい(セカンドオピニオン)
これらの不安や疑問は、適切な診断と治療技術があれば、多くの場合で解決可能です。 浦安ブランデンタルクリニックでは、骨造成・歯肉移植・再生療法など難症例にも対応し、「諦めずに治す」治療をご提案しています。
当院のインプラント治療が選ばれる理由
01
同業者が認める技術力と豊富な臨床経験
理事長の菊地は、国内外の複数の学会に所属し、歯周病・インプラント分野のインストラクターとしても活動しています。
- 日本口腔インプラント学会
- 日本歯周病学会
- 日本臨床歯周病学会
- E.A.E.D(ヨーロッパ歯科審美学会)認定医
- Academy of Osseointegration(米国)
- 5-D Japan インプラントコース インストラクター
- 5-D Japan Follow Up Study Tokyo 会長
- OJ(Osseointegration Clinical Academy of Japan)理事
多くの歯科医師が学ぶ立場として、国内トップレベルの知識と技術を常にアップデートし続けています。その結果、他院からの紹介症例や、千葉県外からの来院も多数あります。
02
口腔全体を考えた治療計画
インプラントの成功には、お口全体をトータルで診る視点が欠かせません。当院では歯科用CTを用いて、3Dシミュレーション
サージカルガイド100%対応で安全性を高めています。また、インプラント治療だけでなく、歯周病・噛み合わせ・審美補綴までを総合的に考慮し、長期的に安定する治療計画を立案します。
03
難症例・審美インプラントにも対応
他院で「骨が少なくてできない」「前歯は難しい」と言われた方もご安心ください。
浦安ブランデンタルクリニックでは、以下のような高度治療にも対応しています。
- 骨造成(GBR・ソケットリフト・サイナスリフト)
- 歯肉移植(FGG・CTG)
- ソケットシールドテクニック(前歯審美部)
- 抜歯即時インプラント埋入
- 全顎的な咬合再構成
「骨がない」「歯ぐきが下がっている」といった難しいケースでも、再生療法と審美技術を組み合わせて、自然で調和の取れた口元を再現します。
治療当院で行った基本となるインプラント治療例
奥歯のインプラント症例の症例


- 年代、性別 40代・男性
- 来院動機 右下の奥から3番目の歯根が割れていて、噛むと痛みがあるとのことでご来院されました。
- 治療内容 思考が割れてしまっていたので、保存不可能な状態でした患者さんは、前後の歯を削って、ブリッジにしたくないとのことで、歯根を抜去した直後に、同じ部位にインプラントを埋入する「抜歯即時インプラント埋入」を実施しました。
- 治療期間 約6ヶ月
-
治療費用
1本分の歯がない状態
診査診断(CT撮影、サージカルガイド費用含む):50,000円×1本=50,000円
インプラント手術:300,000円×1本=300,000円
ジルコニア製上部構造:150,000円×1本=150,000円
合計500,000円
治療のリスク
多数のインプラント治療を対象とした研究では、インプラントが骨と結合する成功率は約95%と報告されています。万が一、骨と結合しなかった場合には、再度インプラント治療を行う必要があります。
安心・安全な治療体制について
精密な診断と可視化されたシミュレーション
GBR骨再生誘導法とは、歯周病や虫歯などによってダメージを受けた骨組織を再生する治療です。歯を支えている歯槽骨は、歯が抜けてしまうと痩せて衰えてきます。インプラント治療を行なうためには、人工歯根を埋入するための歯槽骨の厚みや高さが必要です。歯槽骨が充分にない場合には、インプラント埋入手術の前か同時進行で、GBR法によって歯槽骨を再生させます。

サージカルガイドで確実なインプラント埋入
また、サージカルガイドを使用し、シミュレーション通りの角度・深度・位置に正確に埋入することで、より安全で予測性の高い治療を実現しています。


静脈内鎮静法でリラックスした手術を
「手術が怖い」「音や振動が苦手」という方のために、希望に応じて麻酔医による静脈内鎮静法を導入しています。
点滴から鎮静薬を投与し、半分眠ったようなリラックス状態で治療を受けていただけます。
麻酔医が来院し、全身管理のもとで安全に施術をサポートします。
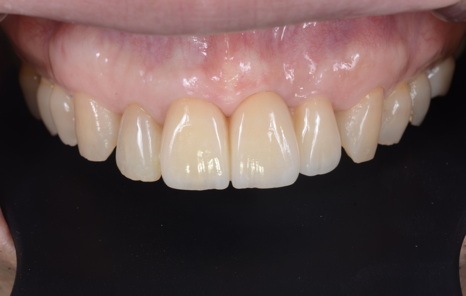
>前歯の美しさを取り戻すための審美インプラント
前歯のインプラントは、奥歯以上に難易度が高く、術者のセンスと経験が結果を左右します。当院では、歯ぐきや骨の形態を整える外科的アプローチと、セラミック補綴のデザイン性を組み合わせ、どこから見ても自然な前歯を再現します。
- 歯ぐきの位置や厚みまで整える軟組織移植
- ソケットシールドによる歯槽骨の維持
- 歯間乳頭を守るプロビジョナル設計
審美性 機能性 メンテナンス性の三拍子が揃った、前歯のインプラント治療を提供します。
前歯の審美インプラント症例の症例


- 年代、性別 50代・男性
- 来院動機 前歯のブリッジが何度も外れてしまい、お困りの様子で、「見た目をきれいにしたい」とのご希望から当院を受診されました。ブリッジを外して確認したところ、支えとなっていた両端の歯に大きな虫歯が見つかり、残念ながら再度ブリッジによる治療は困難であると判断いたしました。そのため、患者さんとご相談の結果、見た目をより自然に整えるためにインプラント治療を行うことになりました。
- 治療内容 歯を3本失っている部位に対し、ソケットシールドテクニックを用いてインプラントを2本埋入し、3本分の人工歯を製作・装着しました。ソケットシールドテクニック(Socket Shield Technique)は、保存不可能な歯を抜いてインプラントに置き換える時に行う手法です。抜く予定の歯の歯根の一部をあえて残すことで、歯ぐきや骨の形をきれいに保ち、見た目の良いインプラント治療につなげる方法です。特に前歯など目立つ場所で自然な仕上がりを目指すときに使われます。
- 治療期間 約6ヶ月
-
治療費用
※3本分の歯がない状態
診査診断(CT撮影、サージカルガイド費用含む):50,000円×2本100,000円
インプラント手術:300,000円×2本=600,000円
ジルコニア製上部構造:170,000円×3本=510,000円
合計 1,210,000円
治療のリスク
ソケットシールドテクニックは、歯の一部をあえて残す少し特別な治療法です。そのため、次のような注意点があります。
残した歯根の一部が露出してくることがある
露出してきた歯根を削ることで改善できます
成功には高い技術が必要
この方法は執刀医の経験や技術に左右されるため、誰にでも向いているわけではありません。
他院でインプラントを断られた方へ
抜歯・骨不足・歯周病などで「できない」と言われても、 当院では再生療法と咬合理論に基づいた治療設計で再挑戦が可能です。必要に応じて矯正・歯肉移植を組み合わせ、長期安定と審美性を両立させます。
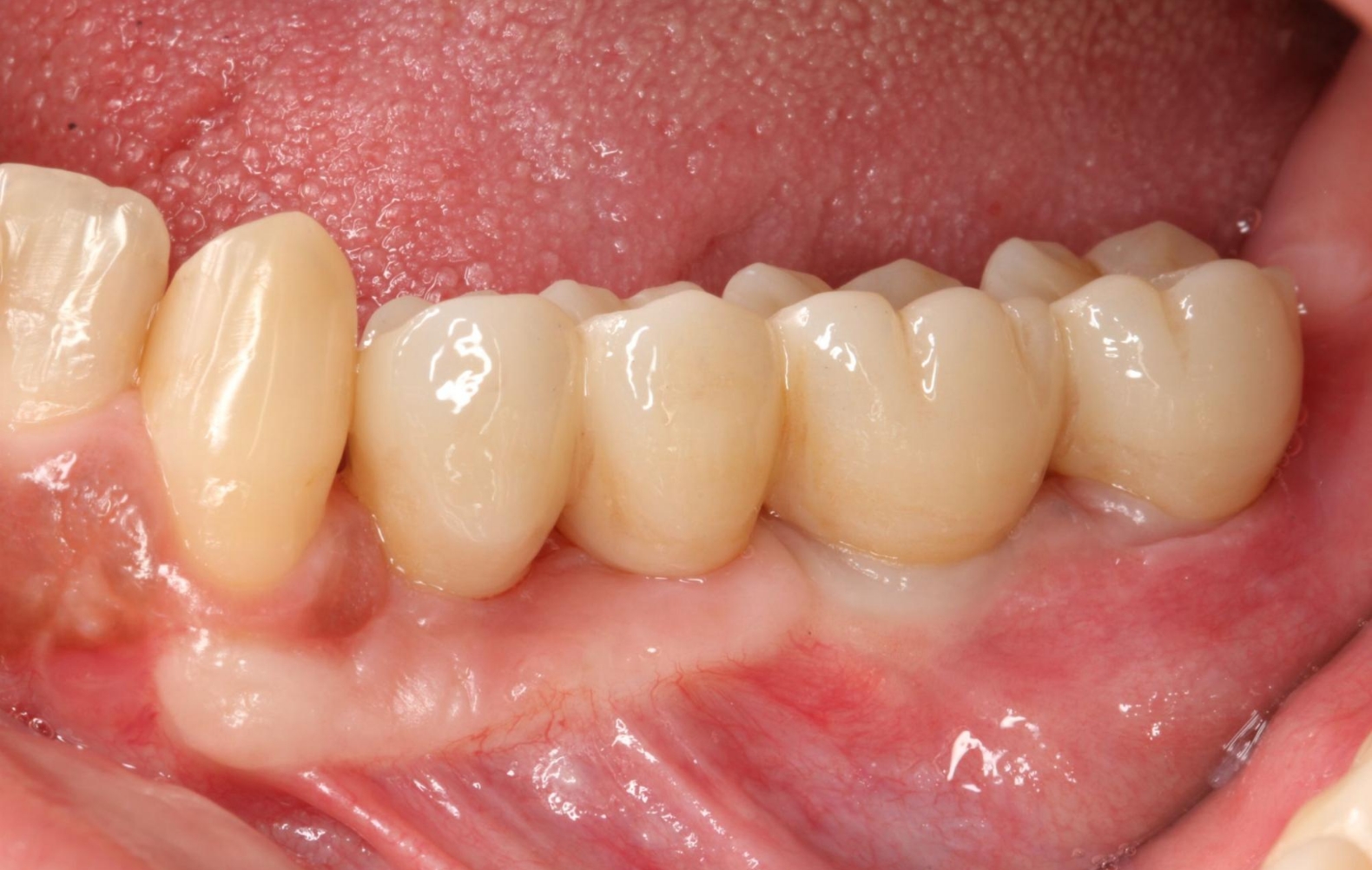
骨造成を伴うインプラント治療の症例


- 年代、性別 50代・女性
- 来院動機 左下の奥歯を4本失い、インプラントをご希望されて自宅近くの歯科医院を受診されたところ、「あごの骨が少ないためインプラントは難しい」と説明を受け、当院にご相談のため来院されました。
- 治療内容 インプラントを埋入するために必要な骨の量が不足していたため、骨造成によって骨を増やした後、インプラントを埋入する治療計画を立てました。
- 治療期間 約12ヶ月
-
治療費用
1本分の歯がない状態
診査診断(CT撮影、サージカルガイド費用含む):50,000円×3本=150,000円
インプラント手術:300,000円×3本=900,000円
骨造成:100,000円×3本=300,000円
ジルコニア製上部構造:115,000円×4本=460,000円
合計1,810,000円
治療のリスク
腫れや痛みが強く出ることがある
骨を増やす処置なので、通常のインプラント治療よりも、腫れることがあります。
感染のリスクが高まる
骨を作る部分に細菌が入ると、うまく骨ができないことがあります。
骨が思うように増えないことがある
体質や生活習慣によって、骨の再生が不十分になることもあります。
治療期間が長くなる
骨が安定するまで数ヶ月待つ必要があり、インプラントを入れるまでに時間がかかります。
インプラント治療の流れ
-
1
カウンセリング
完全個室のカウンセリングルームで、お悩み・ご希望・治療歴を丁寧にお伺いします。
-
2
精密検査(CT・写真・咬合検査)
歯科用CTで骨の状態を確認し、治療方針を3Dでシミュレーションします。
-
3
治療計画の説明
治療期間・費用・リスクをわかりやすく説明し、納得いただいた上で治療を開始します。
-
4
インプラント埋入手術
ガイドサージェリーにより、精密で低侵襲な埋入を行います。
静脈内鎮静法をご希望の方は、麻酔医の立会いのもとで行います。 -
5
上部構造(人工歯)の装着
ジルコニア製の上部構造を装着し、天然歯のような見た目と噛み心地を実現します。
-
6
メインテナンス・定期検診
担当衛生士によるクリーニングと、ドクターチェックで長期的な安定をサポートします。
インプラント治療のよくある質問
骨が足りないと言われましたが、治療はできますか?
骨造成や再生療法によって骨を増やすことで、治療できる可能性があります。CTで正確に診断いたします。
前歯のインプラントもお願いできますか?
審美性の高い前歯部インプラントも多数実績があります。歯ぐきや骨の形を整えることで、自然な見た目に仕上げます。
手術が怖いのですが、大丈夫でしょうか?
ご希望に応じて静脈内鎮静法をご用意しています。麻酔医の立会いのもと、眠っている間に治療を終えられます。
メンテナンスはどのくらいの頻度ですか?
初期は1〜3ヶ月ごと、その後は状態に応じて4〜6ヶ月ごとの通院を推奨しています。担当衛生士が継続管理を行います。
セカンドオピニオンは可能ですか?
はい。抜歯の是非や他院での治療方針に不安がある方は、ぜひご相談ください。精密検査の上で適切な治療法をご提案します。
セカンドオピニオンを承っております

浦安ブランデンタルクリニックではセカンドオピニオンを実施しております。
本当に歯を抜かなければならないのか?インプラントに関する不安などがありましたら、お気軽に当院へいらしてください。
一つひとつの問題を解決し、納得して治療を進められるサポートをさせていただきます。









